TÜ kardiyoloji ana bilim dalından kalp hastaları için yeni bir umut

TRAKYA Üniversitesi (TÜ) Kardiyoloji Ana Bilim Dalı Başkanı Doç. Dr. Servet Altay, Doç. Dr. Muhammet Gürdoğan, Dr. Öğr. Üyesi Murat Gök, Trakya’da ilk defa kullanılan yeni bir yöntemle kanama ve inme riski yüksek bir hastayı tedavi etti.
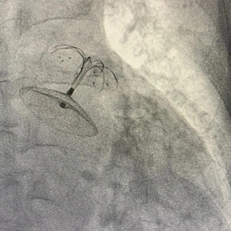
Günümüzde en sık görülen rahatsızlıklardan biri olan kalp hastalıklarının tedavisinde Trakya Üniversitesinden bölge için yeni bir adım geldi. Toplum genelinde sıkça görülen ritim bozukluğu ve buna bağlı olarak inme riski olan hastaların tedavisinde kullanılan antikoagülan (kan sulandırıcı) ilaçların neden olabileceği kanama riskini sıfıra indiren bir yöntem geliştirildi. Dünya ve ülkemizde yeni, Trakya’da ise ilk defa uygulanan bu yöntemde, üç boyutlu görüntüleme teknikleri ve kapalı cerrahi müdahale ile hastanın inme ve kanama riski minimize ediliyor.
BİRKAÇ AYDA HASTA SAĞLIĞINA KAVUŞUYOR
İnme ve kanama riski taşıyan hastalara uygulanan bu yöntemin Türkiye’de sadece belirli merkezlerde gerçekleştirilebildiğini ifade eden Tıp Fakültesi Kardiyoloji Ana Bilim Dalı Başkanı Doç. Dr. Servet Altay, bu yöntemi TÜ Hastanesi’nin ve kardiyoloji ana bilim dalının imkan ve kabiliyetleri ile başarılı bir şekilde uyguladıklarını dile getirdi. Ritim bozukluğu hastalarında kullanılan kan sulandırıcı ilaçların bazı riskleri beraberinde getirdiğini söyleyen Doç. Dr. Servet Altay, “Bazı hastalarımız da hem pıhtı hem de kanama riskini bir arada bulunuyor. Örneğin hastamız daha önce mide veya beyin kanaması geçirmiş. Bu tür hastalara kan sulandırıcı veremiyoruz ama hastada ritim bozukluğu da olduğu için inme geçirme riski var. Bu tür hastalar için geliştirilen yenilikçi bir yöntem uygulanmaya başlandı. Hastanın kasığından kalbin sol kulakçık bölgesine girerek şemsiye yöntemi ile o bölgeyi kapatıyoruz. Birkaç ay sonra ise kalbin şemsiye ile kapattığımız o bölgesi vücudun, kendi dokusu ile tamamen kaplanarak hasta sağlığına kavuşmuş oluyor. Böylece hasta için inme riski de ortadan kalkmış oluyor. Hastanın kan sulandırıcı ilaçlar kullanmasına da gerek kalmadığı için kanama riski de taşımıyor artık hasta” dedi.

Sol atriyal apendiks kapatma isimli yöntemin kompleks bir uygulama olduğu için sadece belirli merkezlerde yapılabildiğini ifade eden Altay, “Böylesine kompleks bir işlemi Üniversitemizde başarıyla gerçekleştirmiş olduk. Bu işlemde en önemli hususlardan biri 3 boyutlu eko-kardiyografi cihazını kullanmış olmamız. Doç. Dr. Muhammet Gürdoğan hocamız bize bu konuda destek verdi. Kalbe bıraktığımız şemsiye dediğimiz cihaz kısa bir süre içerisinde vücut dokusu ile birleşiyor. Tüm bu işlemlerle hastanın konforunu bozmadan, yaşam standartlarını düşürmeden, herhangi bir yara izi bırakmadan küçük bir kesi ile sağlığına kavuşturmuş olduk” diye konuştu.
Yöntemin başarı ile uygulanmasında büyük bir ekip çalışmasının önemli bir etken olduğunu söyleyen Doç. Dr. Servet Altay, Kardiyoloji Ana Bilim Dalı çalışanları ile Anesteziyoloji ve Reanimasyon Ana Bilim Dalı Öğretim Üyesi Prof. Dr. Alkin Çolak’a teşekkür etti.
HASTA KISA SÜREDE TABURCU OLACAK
Hastanın tanı, teşhis ve tedavi yöntemleri hakkında bilgiler veren TÜ Tıp Fakültesi Kardiyoloji Ana Bilim Dalından Dr. Öğr. Üyesi Murat Gök, “Hastamız, 67 yaşında bir kadındı. Hastamızın ritim bozukluğu tanısı mevcuttu. Ek risk faktörlerinin yanı sıra kadın olması nedeniyle mutlaka kan sulandırıcı ilaç kullanması gerekiyordu. Fakat hastanın yemek borusu bölgesinin uç bölümünde damar genişlemesi olduğu ve kan sulandırıcı ilaçlar kullandığı için daha önce 3 defa da kanama öyküsü olan bir hastaydı. Hastamızın, Gastroenteroloji Bilim Dalı tarafından takip ve tedavisi yapılıyordu. Hastanın durumunu birlikte değerlendirdiğimizde kan sulandırıcı ilaçlar kullanmasının risk teşkil ettiğine karar verdik ancak hastanın kardiyolojik yönden de mutlaka kan sulandırıcı ilaçlar kullanması gerekiyordu. Çünkü hastada mevcut olan ritim bozukluğu, felç durumuna neden olan risk faktörlerinin başında geliyordu. Sorunu nasıl çözebileceğimizi düşündük ve kalpte pıhtıya sebebiyet veren bölge olan apendiks bölgesini kapatmaya karar verdik. Böylece hastanın kan sulandırıcı ilaç kullanmasına gerek kalmadan hem mevcut kanamaya sebep olabilecek riskleri hem de inme riskini ortadan kaldırmış olduk. Bu uygulamayı anestezi eşliğinde yaptık ve 2 saat sonra hastayı uyandırdık. Gerekli takip ve kontrollerin ardından hastamızı bir iki gün içinde taburcu edeceğiz” ifadelerini kullandı

‘3 BOYUTLU EKO-KARDİYOGRAFİ İLE KALBİ CERRAHLAR GİBİ GÖREBİLİYORUZ’
Kalp ultrason cihazlarının yıllardır kullanıldığını fakat bunların 2 boyutlu düzeyde kaldığını söyleyen TÜ Tıp Fakültesi Kardiyoloji Ana Bilim Dalı Öğretim Üyesi Doç. Dr. Muhammet Gürdoğan, 3 boyutlu ekokardiyografi yöntemlerinin son zamanlarda kullanılmasıyla kalbin cerrahların gördüğü şekliyle görülmesinin sağlandığını ifade etti. TÜ Hastanesi’nde de 3 boyutlu ekokardiyografi yönteminin başarı ile kullanıldığına dikkat çeken Gürdoğan, “Hem operatör arkadaşlarımızın cerrah gözüyle daha net bir görüntü sağlaması, işleme kılavuzluk etmesi ve işlem sonrası takılan şemsiyenin kontrol edilebilmesi noktasında bizlere yol gösteren, gelişmişlik düzeyi yüksek bir görüntüleme yöntemi. Biz ekip arkadaşlarımızla birlikte bu işlemi başarılı bir şekilde gerçekleştirmiş olduk. Hastamız artık kan sulandırıcı ilaç kullanmak zorunda değil. Böylece kanama riskini de ortadan kaldırmış olduk” dedi.
Trakya bölgesinde ilk defa uygulanan yöntemle sağlığına kavuşan hasta, kendisini çok iyi hissettiğini söyleyerek yöntemi başarı ile uygulayan Doç. Dr. Servet Altay, Doç. Dr. Muhammet Gürdoğan, Dr. Öğr. Üyesi Murat Gök ve ekip arkadaşları ile TÜ Hastanesi’ne teşekkür etti.(DHA)

- 0SEVDİM
- 0ALKIŞ
- 0KOMİK
- 0İNANILMAZ
- 0ÜZGÜN
- 0KIZGIN





























Yorum Yazın